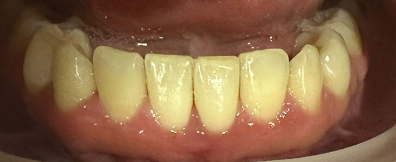
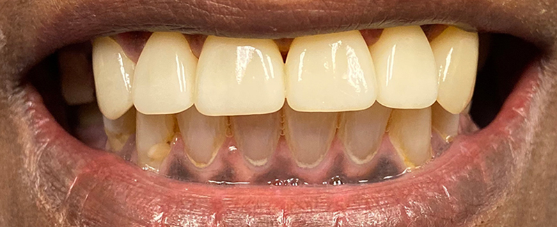
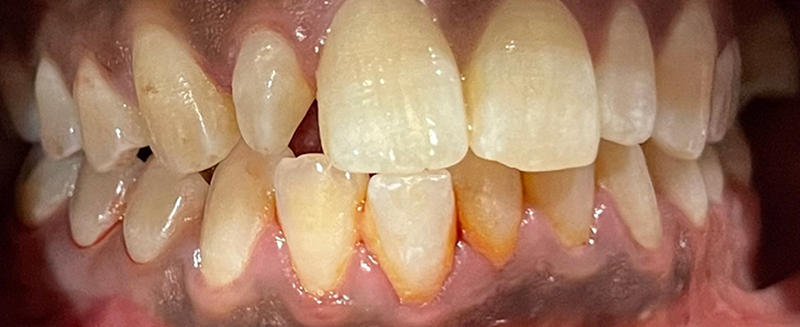
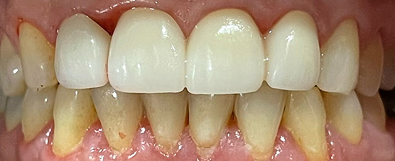
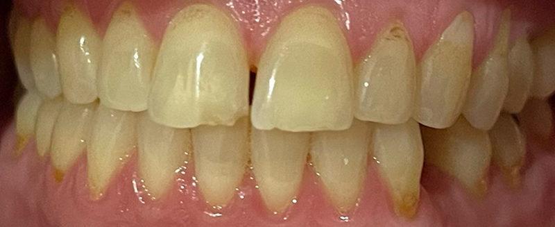
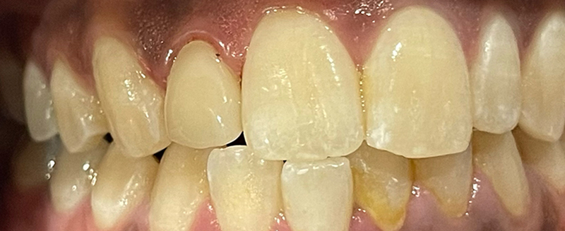
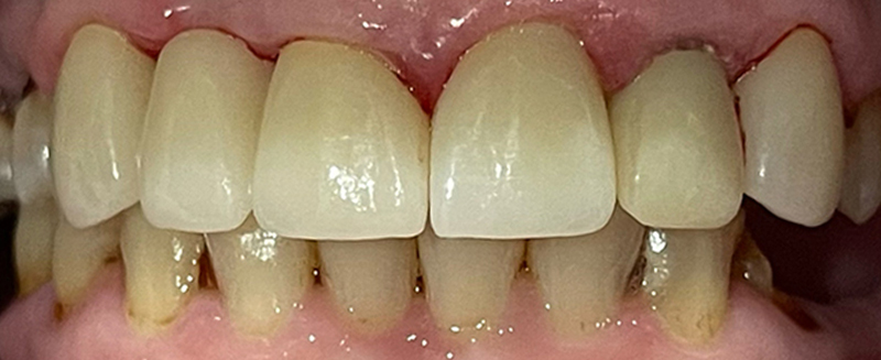
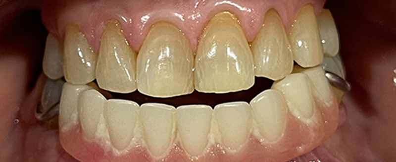
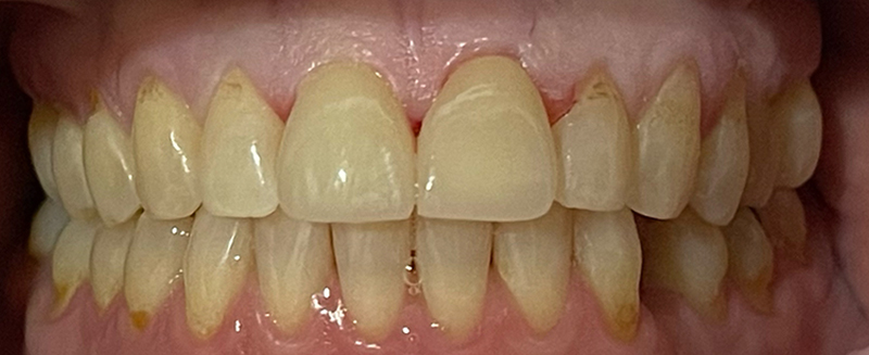
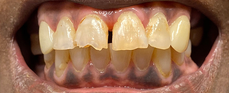
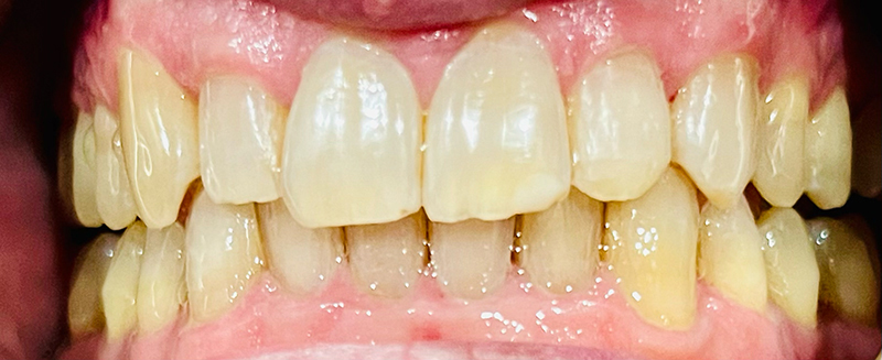
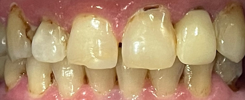
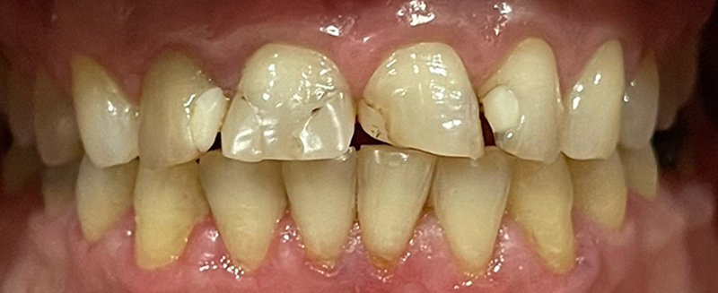
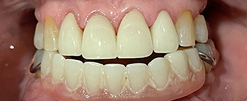
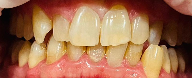
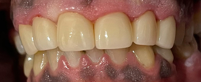
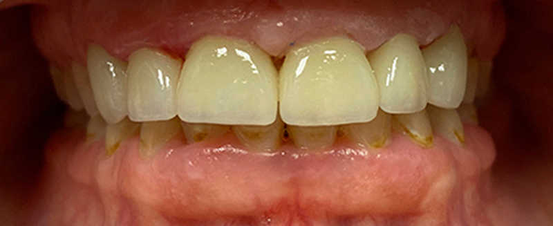
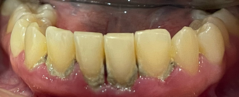
PATIENT GALLERY in Georgetown, TX BEFORE AFTER Clear aligner case. No longer needed traditional braces and you can achieve the desired smile in a desirable time. BEFORE AFTER Scaling and root planing with diadode laser. Pain and blood free. BEFORE AFTER Closing space between teeth with crowns. If a patient does not wish to do traditional braces or clear aligner and wants immediate results. BEFORE AFTER Replacing non-precious metal crowns with zirconia crowns for aesthetic reasons. BEFORE AFTER Closing midline diastema and changing the shape of the teeth with a more ideal look with EMAX veneers. BEFORE AFTER Correcting a size of peg lateral incisor with EMAX crown. BEFORE AFTER BEFORE AFTER BEFORE AFTER BEFORE AFTER Zirconia crowns for aesthetic reasons.